Smile Bright
With Aashirya
We care for more than just teeth we care for you. With advanced tech and a gentle approach, we ensure safe, comfortable, and effective dental clinic.
happy customers
About Dr. Urvashi Tanwar
Dr. Urvashi Tanwar is a passionate and detail-oriented dental specialist with a keen eye for both clinical excellence and aesthetic harmony. Her philosophy is simple yet powerful: save natural teeth whenever possible, and design smiles that look beautiful, feel natural, and function for life.
She holds a Bachelor of Dental Surgery (BDS) from the prestigious SDM College of Dental Sciences, Dharwad—ranked among India’s top dental institutions—and a Master’s in Conservative Dentistry and Endodontics from Dayananda Sagar College of Dental Sciences, Bengaluru. A consistent university topper and gold medalist, Dr. Urvashi has been recognized for academic excellence throughout her career.
Her core clinical interests include:
Root canal treatments, especially challenging re-treatment cases
Aesthetic restorations and biomimetic fillings
Cosmetic dentistry, including smile makeovers and veneers
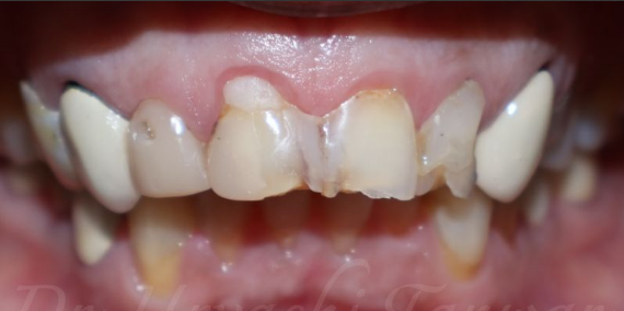
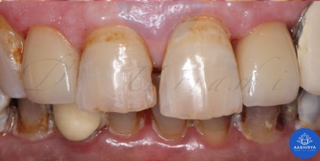
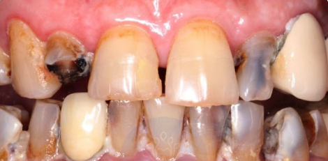
Dr. Urvashi is also an avid clinical photographer, combining her love for photography with dentistry to meticulously document each case. This not only enhances treatment quality but allows her to actively involve patients in their own dental journey—educating them, building trust, and co-creating treatment plans with complete transparency.
She is a regular speaker at dental programs, an educator and blogger, and the founder of Aashirya Dental Care, a practice built on ethics, precision, and a deep respect for natural teeth. With her thoughtful, tech-enabled, and patient-centered approach, Dr. Urvashi is redefining the way dental clinic is delivered—one smile at a time.
About Aashirya Dental Care
Aashirya Dental Care was founded with a mission to redefine the dental experience. Our clinic combines a modern, hygienic setting with expert dental knowledge and a patient-first approach. Led by experienced professionals, we are dedicated to providing complete oral health care solutions for all age groups.
- Preventive Dentistry
- Restorative Dentistry
- Endodontics (Root Canal Therapy)
- Cosmetic Dentistry
Orthodontics
Braces and clear aligners (like Invisalign) to straighten your teeth and improve your bite.
Read morePeriodontal Care
Treatments for gum disease, including scaling, root planing, and gum surgery.
Read morePediatric Dentistry
Gentle care for children, including exams, cleanings, fluoride treatments, and space maintainers.
Read moreEmergency Dental Care
Immediate care for dental injuries, severe toothaches, and other urgent issues.
Read more0+
Happy Patients0+
Teeth saved0+
Fillings that stay0+
Years of ExeperienceFrequently Asked Questions
Exceptional Service With a Personal Touch
2,500+ Smiles Made Confident Again
Through crowns, aligners, and care
150+ Nervous Patients Calmed
With gentle hands and listening hearts
3,000+ Appointments Honored on Time
Because your time matters to us
90% Patients
Who Came in Pain, Left with Relief – and a reason to smile
Our Happy Customers
Ajay AroraI had an excellent experience with Dr. Urvashi Tanwar at Aashriya Dental Care. She performed my root canal treatment, fillings, and cleaning etc. with great precision and professionalism. Her meticulous attention to detail, clear and thoughtful communication, and adherence to best practices—such as the use of rubber dams—reflect her commitment to high-quality, long-lasting dental care. I highly recommend Dr. Urvashi for anyone seeking expert and reliable dental treatment.
Sharath KrishnaswamiDr. Urvashi explains in meticulous detail about the condition of the tooth and the kind of repair it requires. She educates about the equipment that will suit the repair process adequately. Her methods are pristine and She pays a close attention to hygiene which I have not found with any other dentist. She is a highly recommended Endodontist in South Delhi.
Dr Bharath Gowda M CHad my Front tooth filing done by Dr Urvashi. Very Talented Endodontist with upmost precision. The filing looks very Natural. Dr Urvashi is very Passionate in her work and Aashirya dental care is very Clean and beautiful. Highly Recommended Dentist.